〒231-0007
神奈川県横浜市中区弁天通3-47-2フロール横濱関内2階

Web予約

電話マーク

メニュー

メニューから探す

ラミネートべニアに関する症例一覧

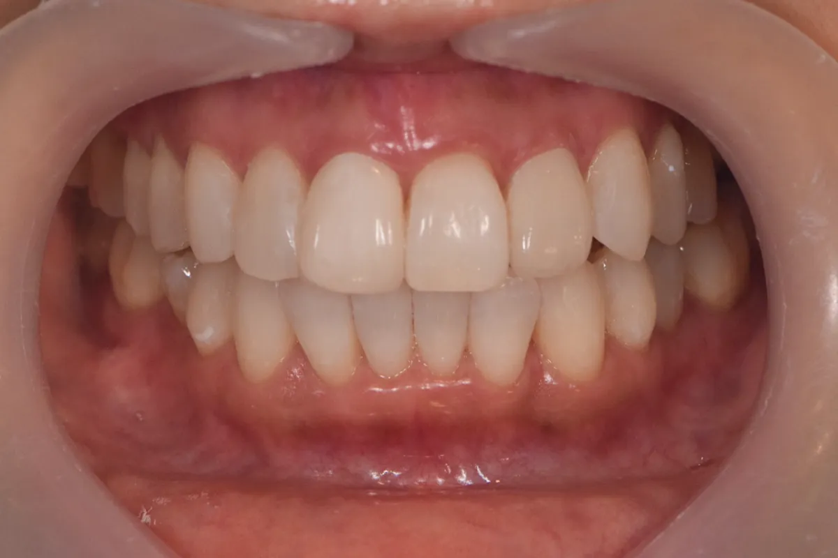
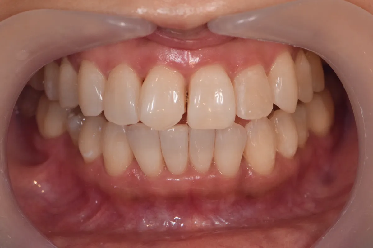
ホワイトニングとラミネートベニアによる審美治療

治療期間の目安
約6ヶ月
治療回数の目安
6回
治療費総額の目安
318,600円

治療名 トランセントホワイトニング+ラミネートべニア 治療費用 トランセントホワイトニング:109,600円(税込)※キャンペーン価格適応 ラミネートベニア:198,000円(税込) 診断料:11,000円(税込) 治療 […]

詳細を見る

関内馬車道みなとまち歯科

住所

〒231-0007
神奈川県横浜市中区弁天通3-47-2フロール横濱関内2階

最寄駅

馬車道駅5番出口:徒歩4分
地下鉄関内駅3番出口:徒歩4分

駐車場

なし

10:00~19:00
お電話でのお問い合わせ

045-232-4550

受付時間:10:00~19:00 /定休日:祝日・不定休

 
Web予約24時間受付
WEB予約アイコン

WEB予約

LINE予約アイコン

LINE予約

TELアイコン

TEL

メニュー

BACK TO TOP