〒231-0007
神奈川県横浜市中区弁天通3-47-2フロール横濱関内2階

Web予約

電話マーク

メニュー

メニューから探す

関内馬車道みなとまち歯科 の
症例一覧

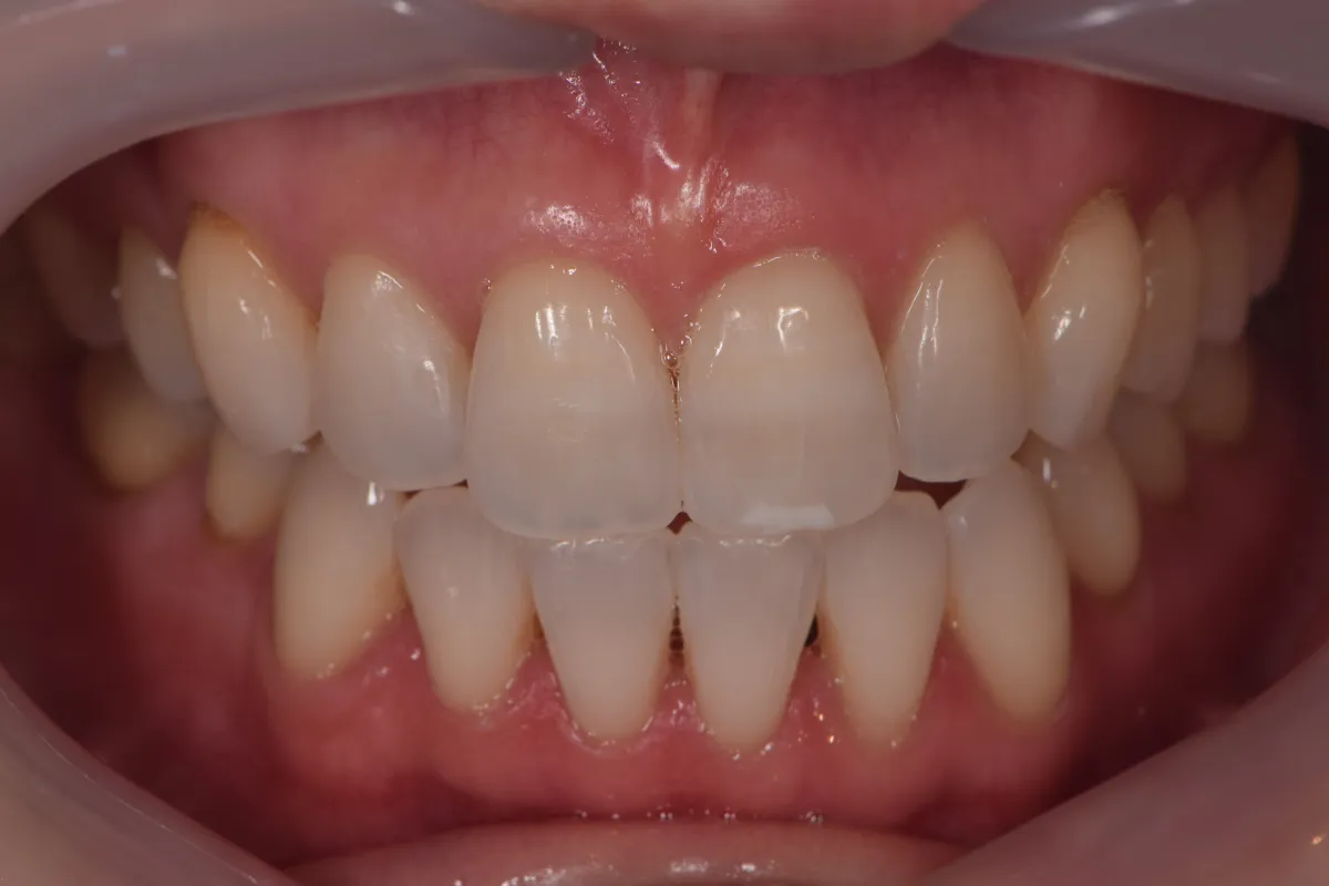
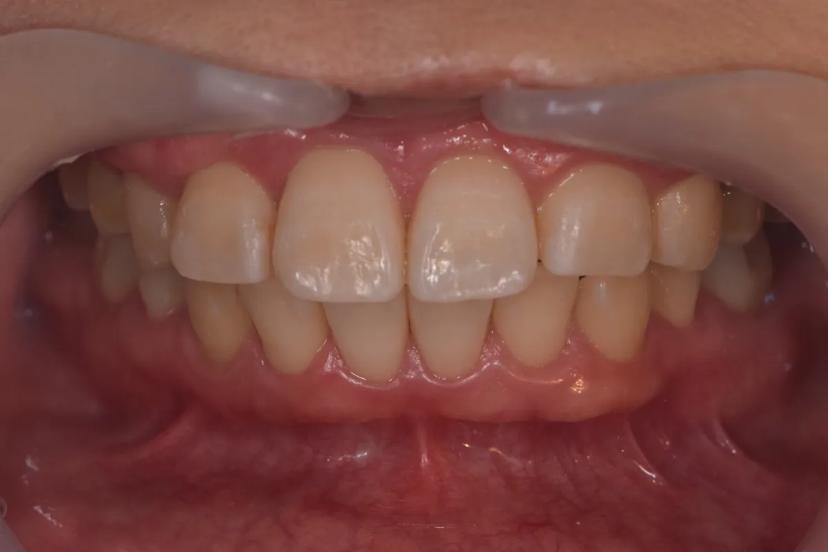
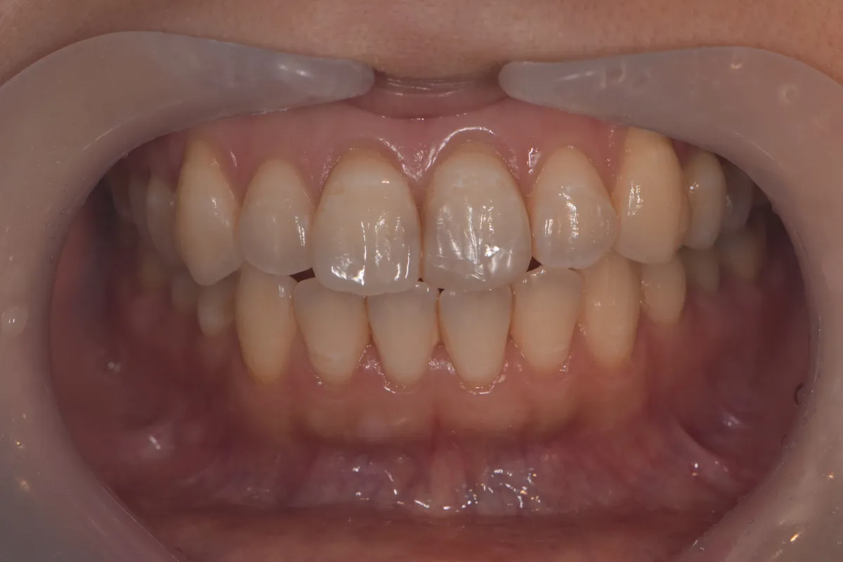
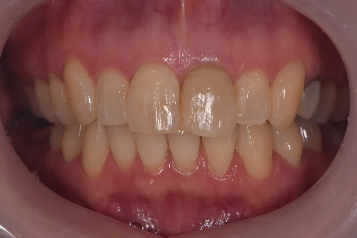
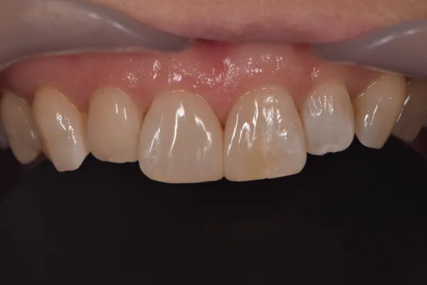
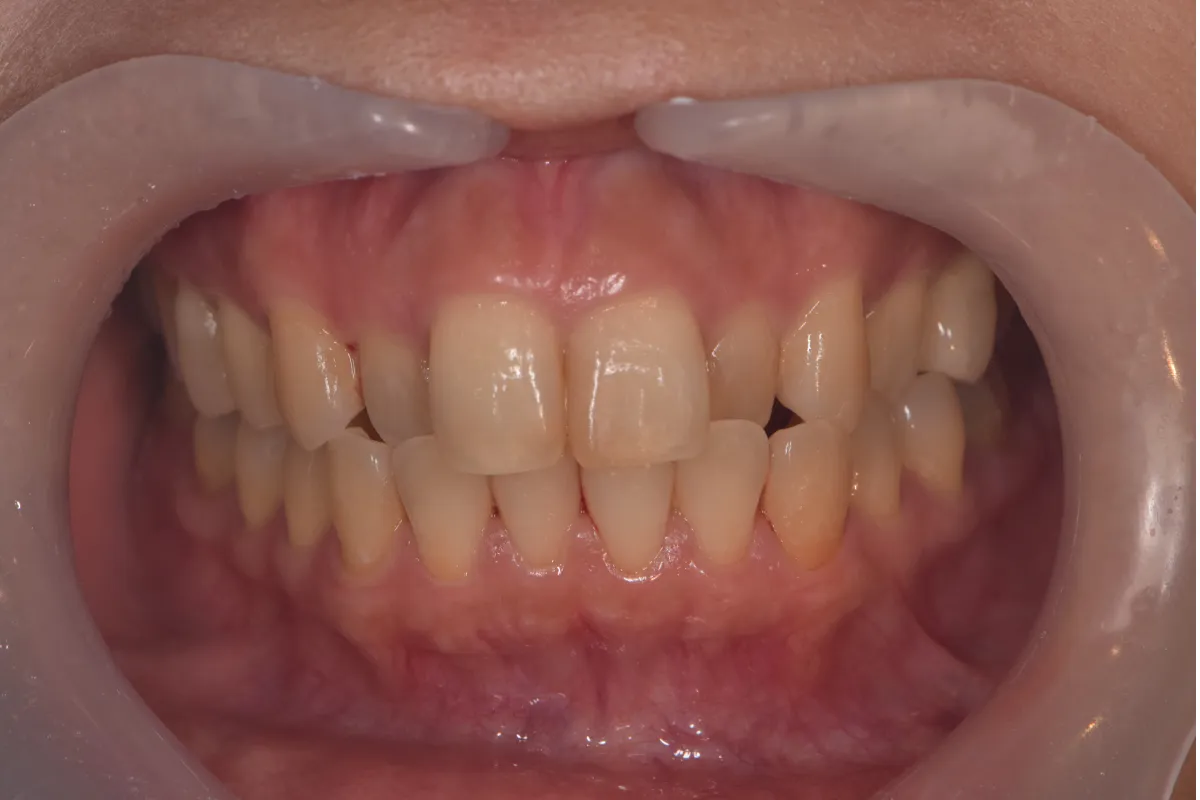
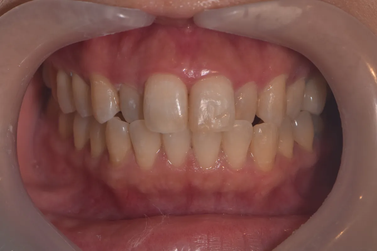
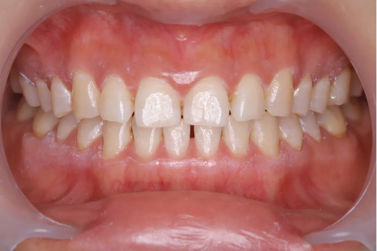
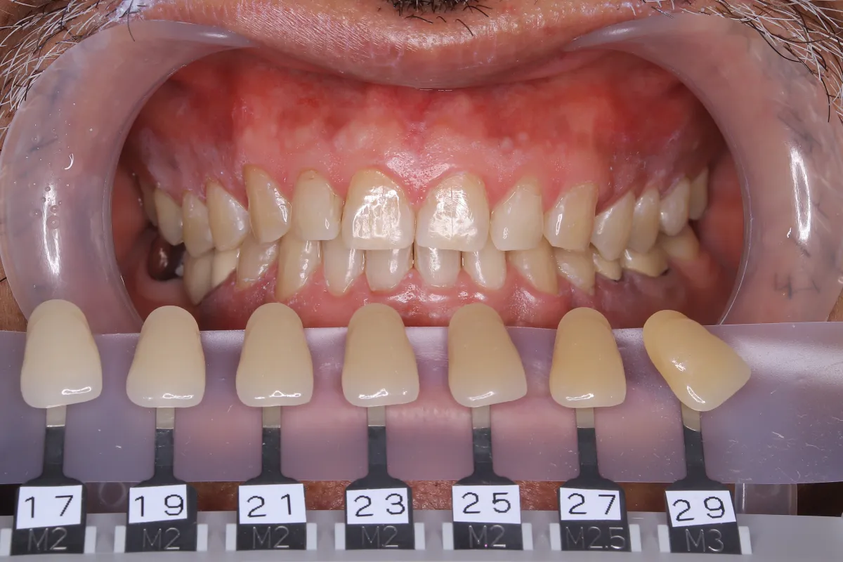
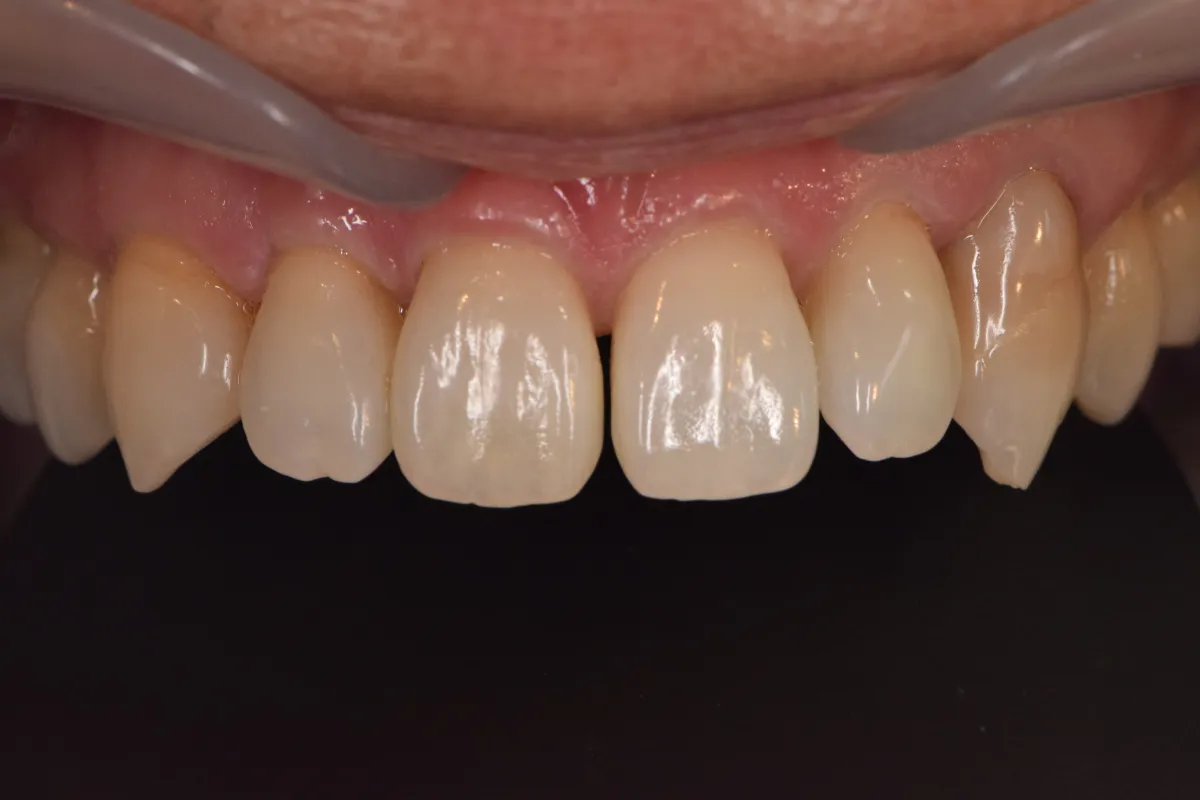
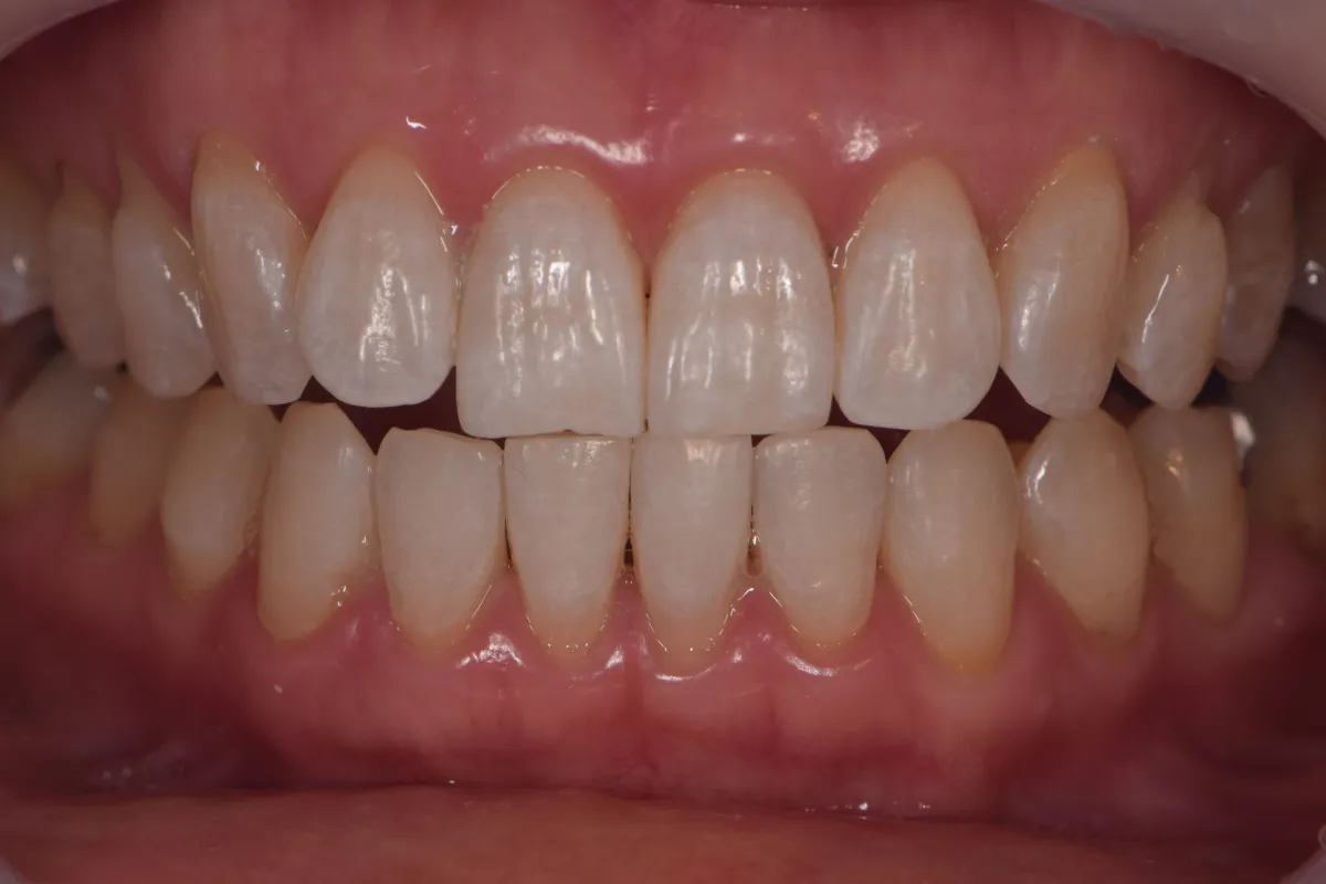
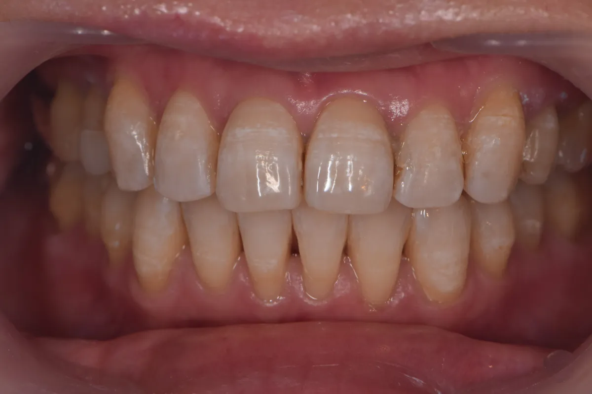
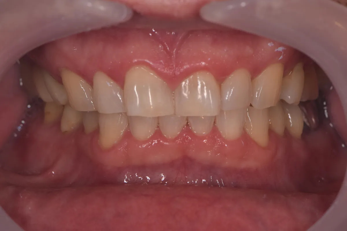
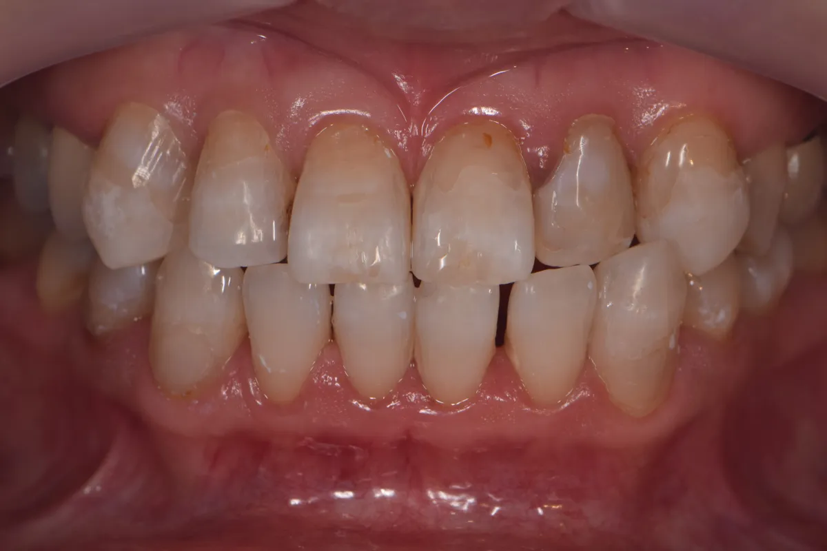
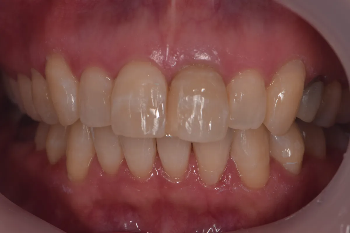
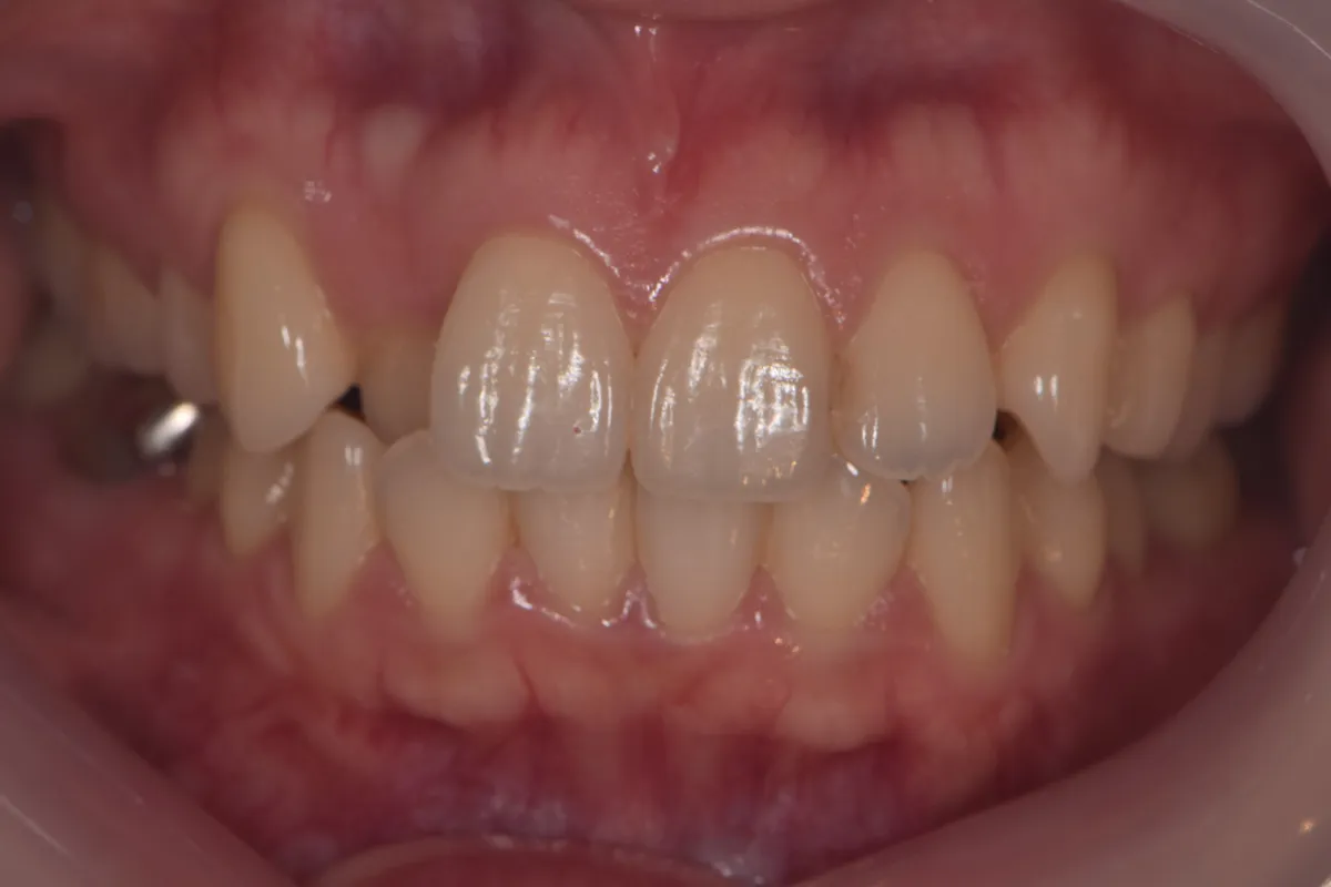
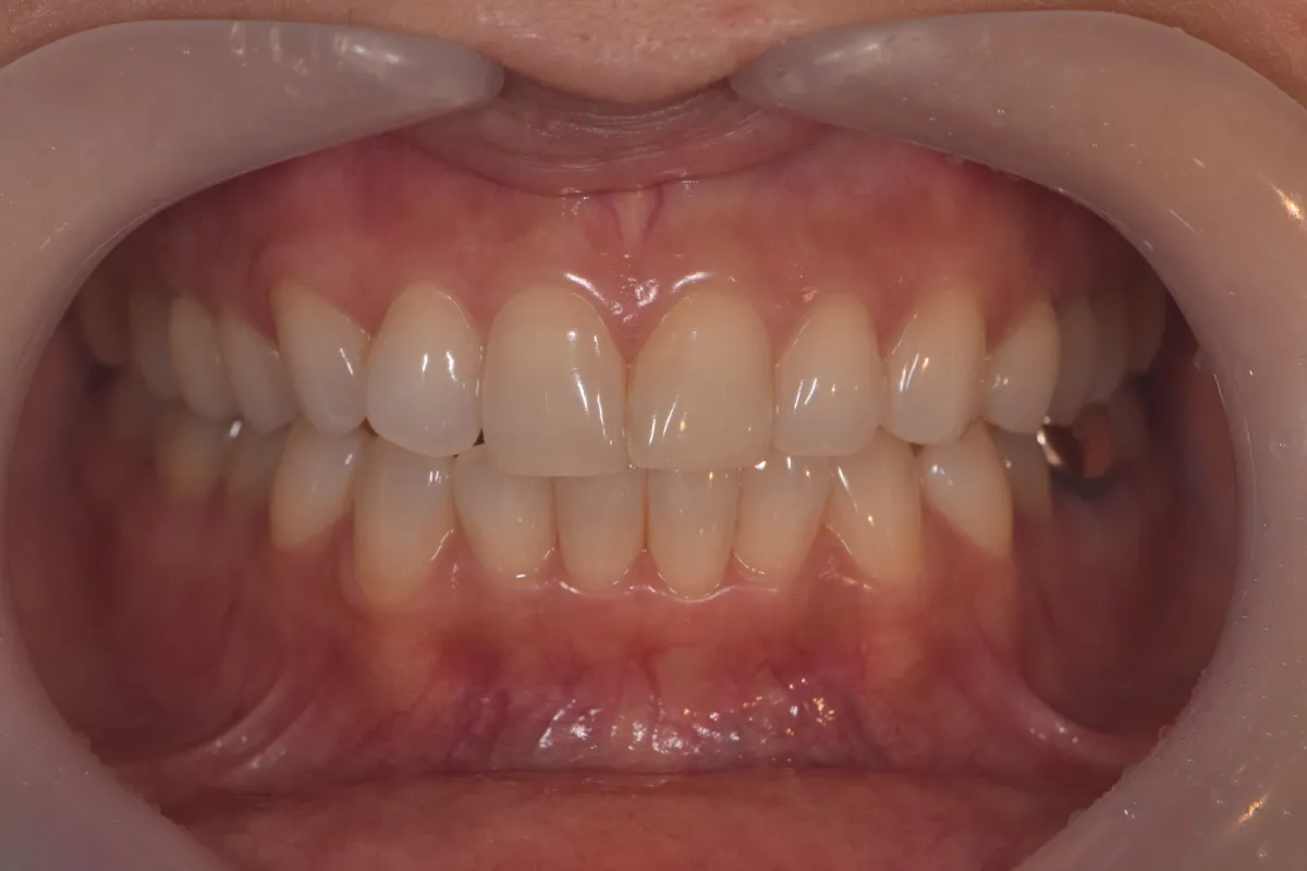
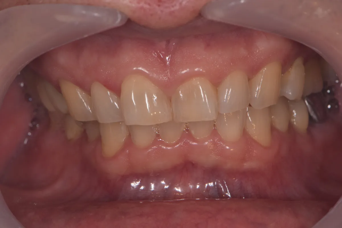
ホワイトニングとラミネートベニアによる審美治療

治療期間の目安
約6ヶ月
治療回数の目安
6階
治療費総額の目安
318,600円

治療名 トランセントホワイトニング+ラミネートべニア 治療費用 トランセントホワイトニング:109,600円(税込)※キャンペーン価格適応 ラミネートベニア:198,000円(税込) 診断料:11,000円(税込) 治療 […]

詳細を見る

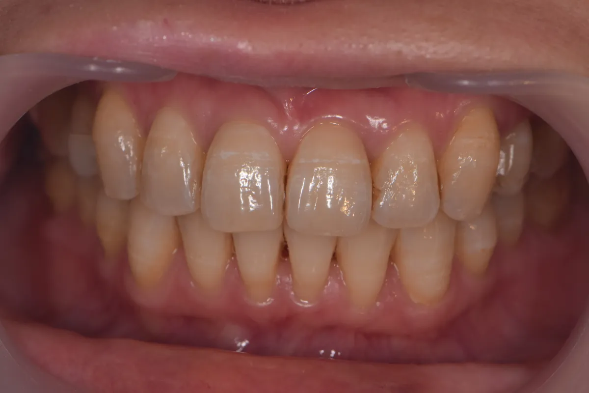
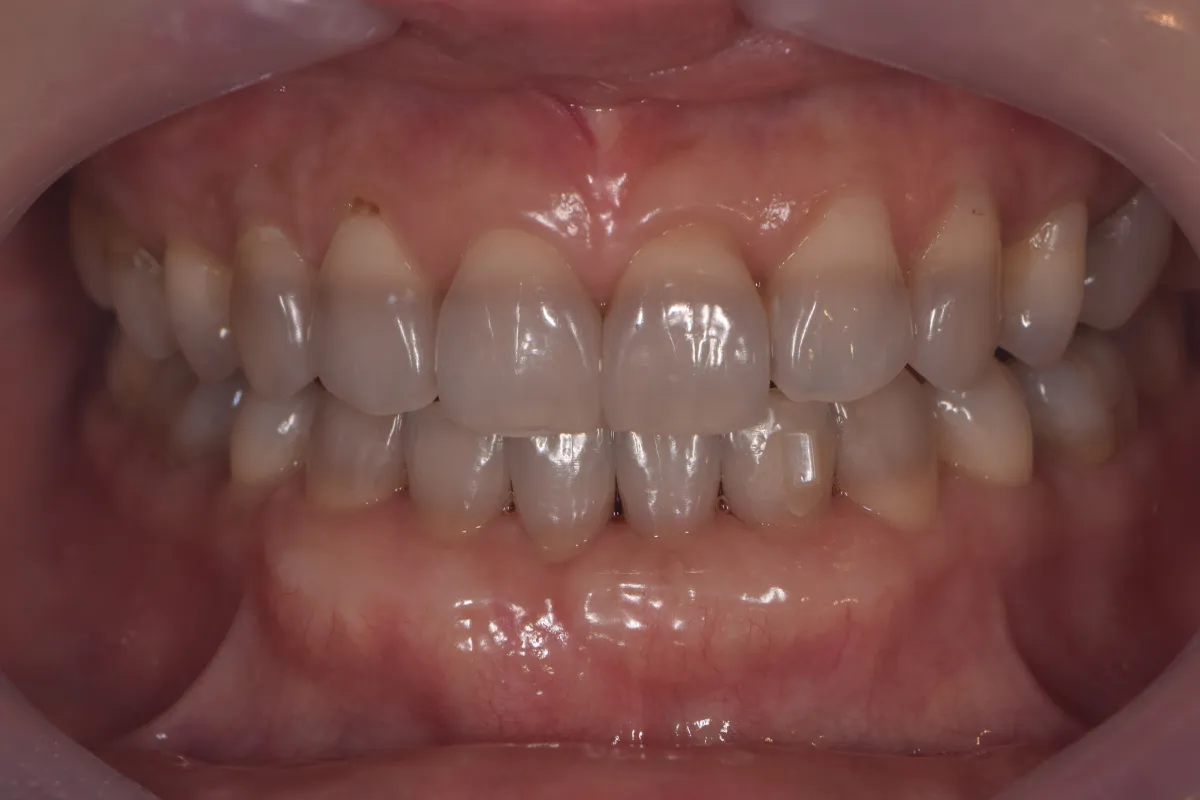
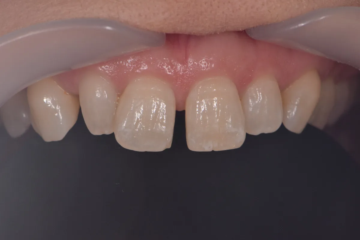
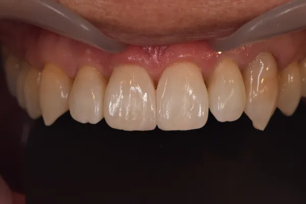
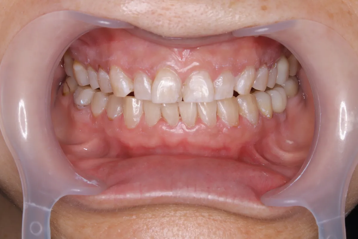
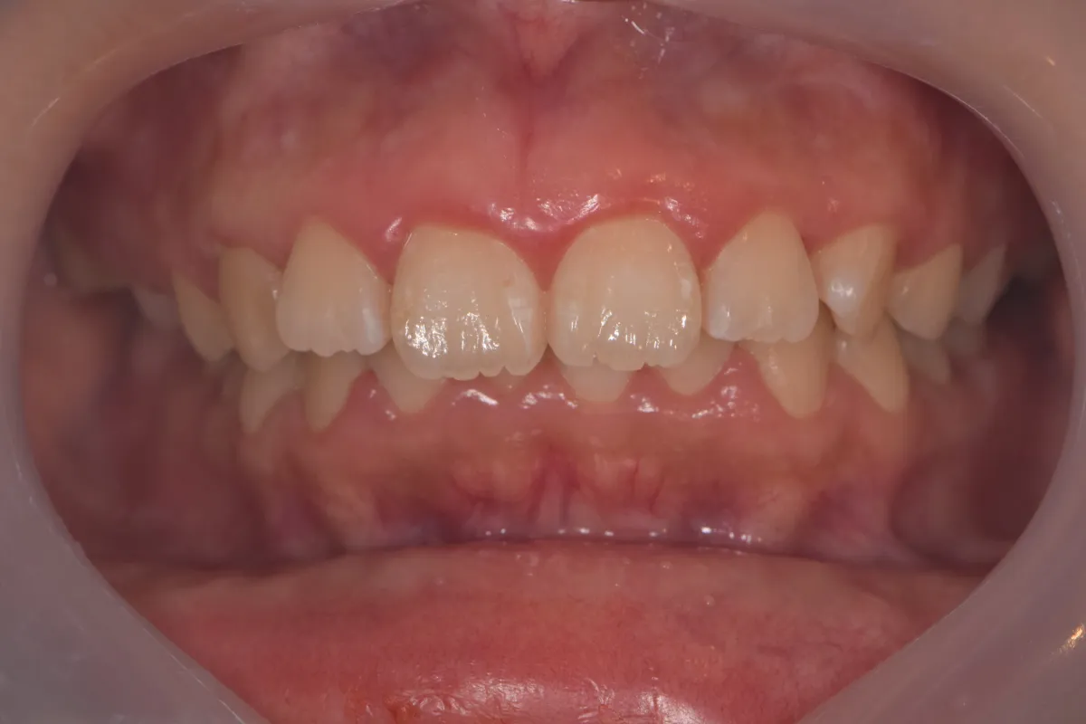
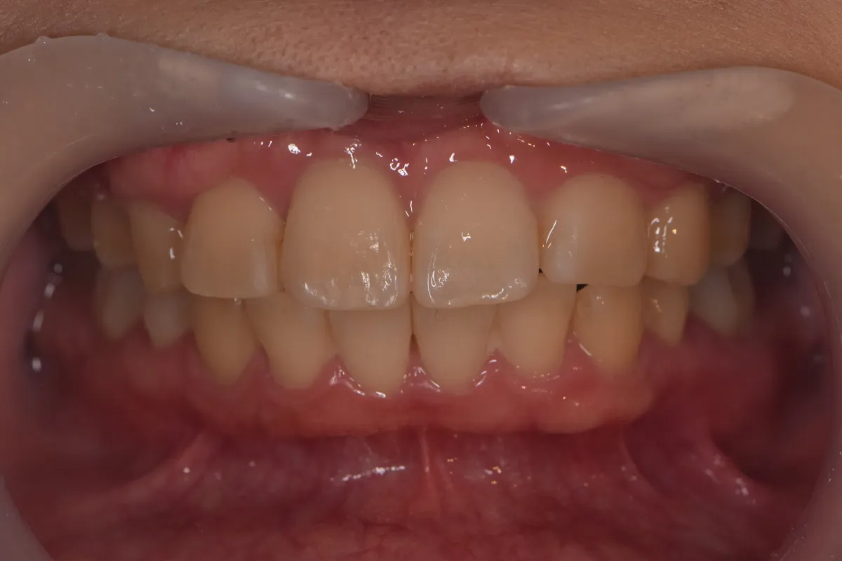
正中離開をダイレクトボンディングにて修復

治療期間の目安
-
治療回数の目安
1回
治療費総額の目安
121,000円

治療名 ダイレクトボンディング 治療費用 ダイレクトボンディング:121,100円(税込)※WAX UP診断料を含む 治療期間/来院回数 1回 患者情報 50代男性 患者様のお悩み・主訴 他院にて矯正終了したが隙間が閉じ […]

詳細を見る

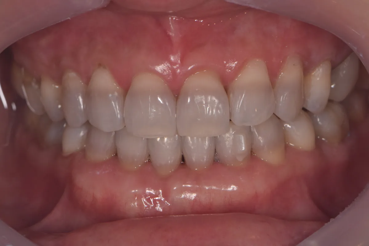
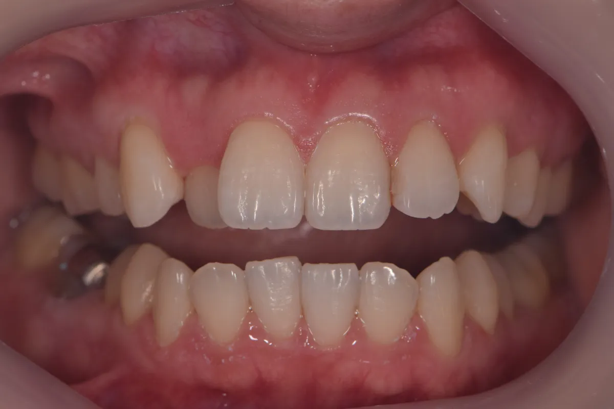
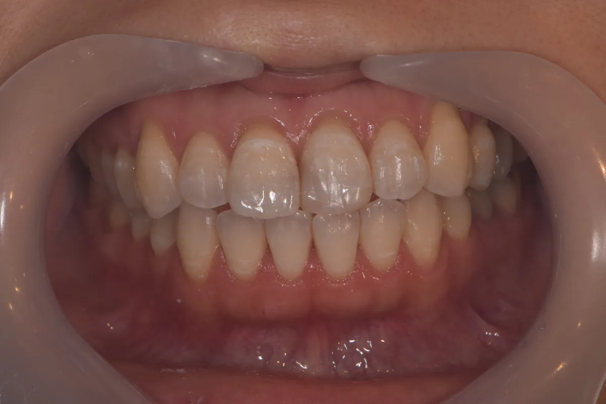
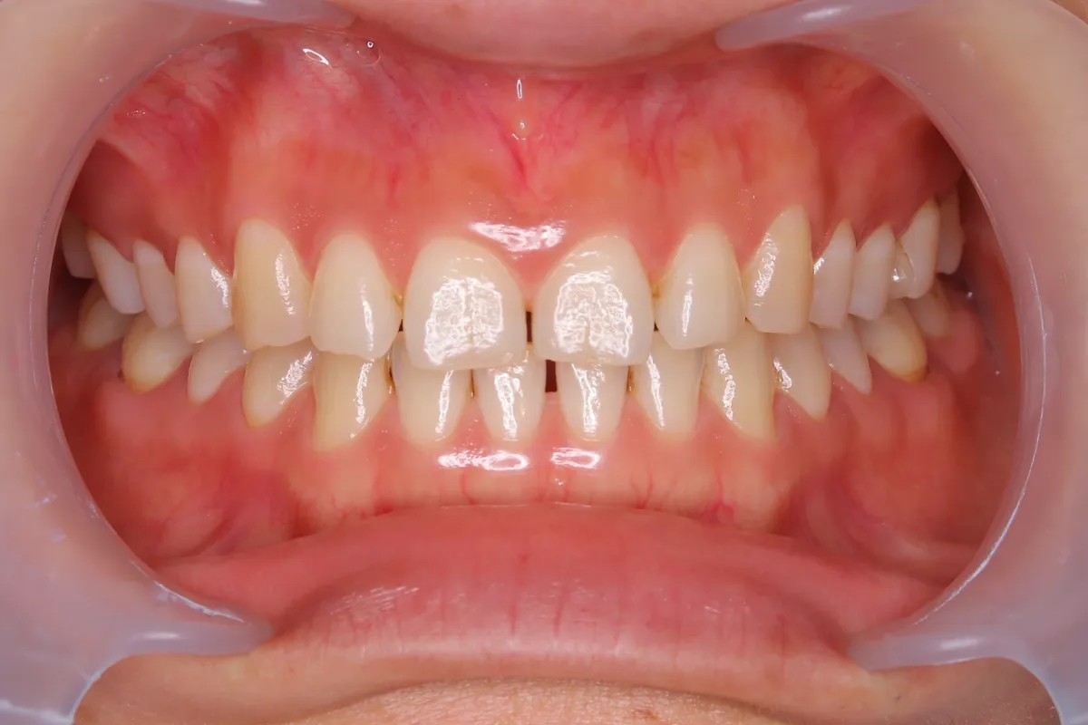
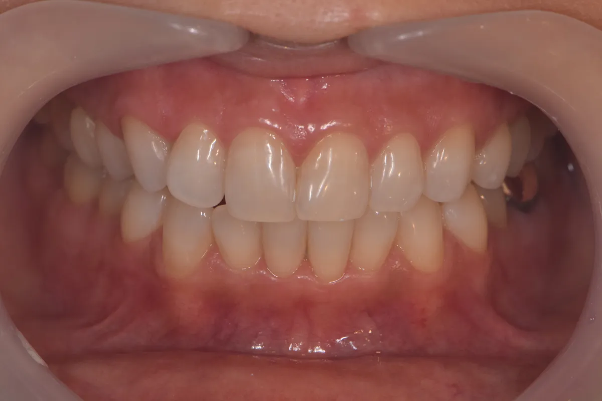
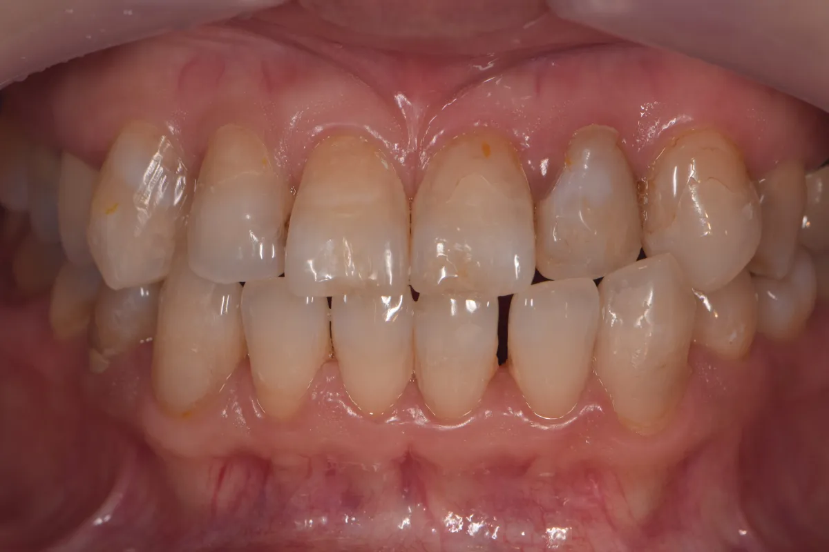
ダイレクトボンディングによる正中離開の修復と
矮小歯のラミネートベニアを用いた審美修復

治療期間の目安
約1ヶ月
治療回数の目安
4回
治療費総額の目安
220,000円

治療名 ダイレクトボンディング 治療費用 ダイレクトボンディング:121,100円(税込)※WAX UP診断料を含む ラミネートベニア:99,000円(税込) 治療期間/来院回数 約1ヶ月/4回 患者情報 40代女性 患 […]

詳細を見る

歯根破折により抜歯した右側臼歯部インプラント

治療期間の目安
約6ヶ月
治療回数の目安
10回
治療費総額の目安
440,000円

治療名 インプラント 治療費用 総額440,000円(税込) ※インプラント体:ジルコニアクラウン(上部構造)含めて ※検査・インプラントガイド作成¥55,000(税込) 治療期間/来院回数 約6ヶ月/10回 患者情報 […]

詳細を見る

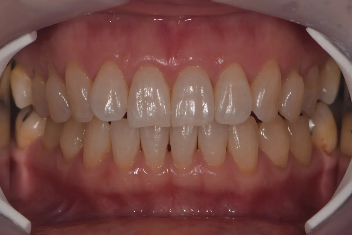
下の4番を2本抜歯をして受け口を改善したマウスピース矯正

治療期間の目安
約12ヶ月
治療回数の目安
15回
治療費総額の目安
約704,000円

治療名 マウスピース矯正(インビザライン) 治療費用 総額704,000円(キャンペーン価格) ※調整代含む ※矯正検査代:33,000円 治療期間/来院回数 約12ヶ月/15回 患者情報 30代男性 患者様のお悩み・主 […]

詳細を見る

抜歯をせずに八重歯を
改善したマウスピース矯正

治療期間の目安
約6ヶ月
治療回数の目安
8回
治療費総額の目安
約704,000円

治療名 マウスピース矯正(インビザライン) 治療費用 総額704,000円(キャンペーン価格) ※調整代含む ※矯正検査代:33,000円 治療期間/来院回数 約6ヶ月/8回 患者情報 20代女性 患者様のお悩み・主訴 […]

詳細を見る

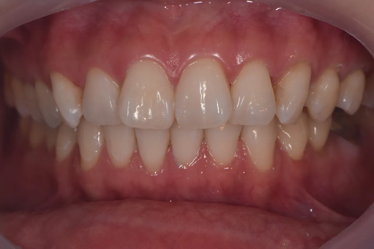
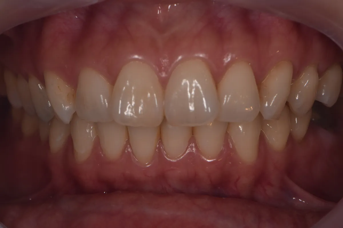
虫歯で失った歯質を回復させる
ダイレクトボンディング

治療期間の目安
-
治療回数の目安
1回(60分)
治療費総額の目安
33,000円

患者情報 年代・性別 30代女性 主訴 虫歯を治したい 治療概要 治療方法 ダイレクトボンディング 治療費用 33,000円 ※オープン記念価格 治療回数 1回(60分) ※カウンセリング込 想定リスク 樹脂の破損が起こ […]

詳細を見る

銀歯を白くしたい方への
ダイレクトボンディング

治療期間の目安
-
治療回数の目安
1回(60分)
治療費総額の目安
44,000円

患者情報 年代・性別 20代女性 主訴 目立つ銀歯を白くしたい 治療概要 治療方法 ダイレクトボンディング 治療費用 44,000円 治療回数 1回(60分) 想定リスク 樹脂の破損 生活歯の場合は歯髄炎になる可能性あり […]

詳細を見る

他院で抜歯と判断された
歯の保存

治療期間の目安
約6カ月
治療回数の目安
経過観察含め6回
治療費総額の目安
約106,000円

患者情報 年代・性別 30代男性 主訴 他院で抜歯と判断された歯の保存 治療概要 治療方法 感染根管治療 被せ物:フルジルコニアクラウン 治療費用 感染根管治療(保険適用)約6,000円 フルジルコニアクラウン100,0 […]

詳細を見る

関内馬車道みなとまち歯科

住所

〒231-0007
神奈川県横浜市中区弁天通3-47-2フロール横濱関内2階

最寄駅

馬車道駅5番出口:徒歩4分
地下鉄関内駅3番出口:徒歩4分

駐車場

なし

10:00~19:00
お電話でのお問い合わせ

045-232-4550

受付時間:10:00~19:00 /定休日:祝日・不定休

 
Web予約24時間受付
WEB予約アイコン

WEB予約

LINE予約アイコン

LINE予約

TELアイコン

TEL

メニュー

BACK TO TOP